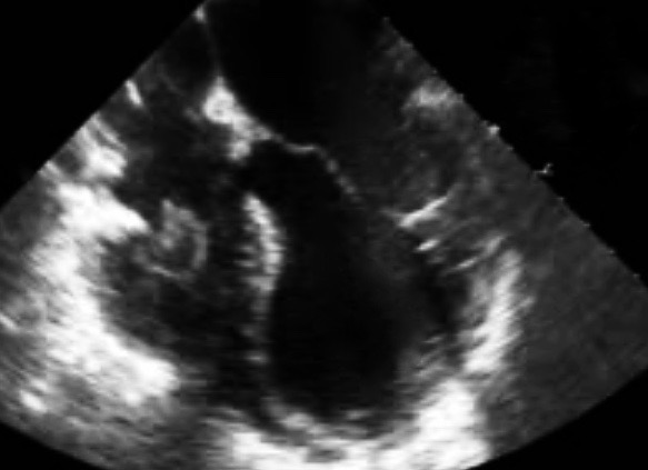
För flera år sedan hade jag en traumapatient som hade fallit från hög höjd och hade ådragit sig flera extremitetsfrakturer, revbensfrakturer och hade GCS 3. Hen hade palpabla pulsar, intuberades på skadeplatsen utan läkemedel. Vid ankomst kunde vi känna femoralispulsar men när NIBP togs var trycket 55/30. eFAST (som utfördes parallellt) visade inget blod i pericardiet, ingen ptx, liten hemothorax vä, inget blod i buken. Slät-rtg bäcken u.a. Kliniskt ingen femur-fx. Efter några minuter var vi på op-salen (vägg-i-vägg med traumarummet på Karolinska) och kirurgen utförde en lateral thorakotomi och klämde av aorta descendens. Blodtrycket steg momentant till >100 varpå det utfördes en laparotomi som bekräftade att det inte fanns blod i buken. I vä thorax fanns ca 100 ml blod. På prov släpptes aorta – trycket föll. Manuella hjärtkompressioner gjordes – trycket steg. Berodde hypotensionen på en neurogen stunning av myokardiet?? Ett TEE visade en väldigt trött vänsterkammare med lite bevarad kontraktilitet basalt. Cirkulationen stabiliserades med adrenalin och noradrenalin-inf och lite senare med milrinon-inf. CT hjärna visade uttalade coup-contrecoup kontusioner.

I den här retrospektiva studien från Seattle gick man igenom echo-fynd hos 139 patienter med isolerad skallskada. Echo hade beställts på klinisk indikation (risk för selection bias). Patienter med känd hjärtsjukdom exkluderades. Av 139 hade 16 LVEF<50% och 21 regional dys/hypokinesi i vänsterkammaren;
Preliminary Report on Cardiac Dysfunction after Isolated Traumatic Brain Injury
Senaste kommentarer